|
L’Hôpital Dentaire de Bangkok "Invisalign®"
Invisalign®, fortifier vos dents sans appareil dentaire.
Invisalign® C’est une méthode de traitement orthodontie qui est invisible et aide à fortifier les dents sans appareil dentaire.
Invisalign® utilise un moule transparent et personnalise de façon à vous convenir parfaitement. Le dispositif est pratiquement transparent et conçu pour progressivement réarranger vos dents jusqu'à l’obtention d’un sourire merveilleux.
L’avantage principal d’Invisalign est l’esthétique. Le dispositif est entièrement transparent et très difficile à remarquer. Cette méthode est donc très populaire pour les personnes qui veulent arranger leurs dents sans vouloir porter l’appareil dentaire traditionnel en métal. Invisalign est largement plus confortable que l’appareil en métal car il n’y a pas de frottement ni d’irritation des tissus mou dans la bouche. Vous pouvez également vous réjouir de plusieurs sortes de nourriture sans être encombré par la structure métallique car celui-ci est très facilement détachable. Invisalign vous permet de manger, brosser les dents ou même utiliser le fil dentaire normalement.
- Enlever le dispositif pour manger, brosser les dents ou pour utiliser le fil dentaire
- Changer de dispositif tous les deux semaines
- Vos dents se déplacent petit à petit
- Suivi régulier avec notre orthodontiste
- Résultats apparaissent souvent entre 6 mois à 1 an
- La plupart des gents ne remarqueront pas que vous portez le dispositif
- Ca n’interrompra pas votre mode de vie
- Pas de fil métallique qui gênera dans la bouche
Un fournisseur certifie de Invisalign vous créera un plan de traitement par Invisalign's clear : Celui-ci sera spécialement moulé à vos dents pour résoudre les problèmes suivants:
- Dents excessivement serrées
- Espaces entre les dents
- Recouvrement incisive
- Underbites
- Croisement de dents
Les premiers pas sont très simples. Les étapes à faire pour vous procurer de votre merveilleux Invisalign®
La façon dont Invisalign est conçu
1. Un Orthodontiste certifié pour Invisalign, ou un dentiste, fait une évaluation et cré un programme pour le traitement. Prise de photos et des impressions de vos dents.
2. Un CT scan (Computed Tomography ou CAT scan), est créé a base de vos impressions. Le CT scan produit un modèle extrêmement précis de vos dents en 3 Dimensions.
3. Un logiciel de CAD (Computer Aided Design) est utilisé pour reproduire les mouvements de vos dents pendant le traitement.
4. Notre Orthodontiste vérifie, modifie, et approuve le traitement avant que le dispositif soit créé.
5. Invisalign utilise une technique de pointe, la stereolithographie (SLA) pour construire le moule exacte de vos dents pour chaque étape du traitement.
6. Le dispositif d’alignement fait sur mesure est crée par rapport au modèle et ensuite envoyé chez le docteur.
7. Vous recevez votre dispositif qui devra être changé toutes les deux semaines, au fur à mesure du mouvement de vos dents. Porter le, jours et nuits, pendant une période de deux semaines et enlevez le seulement pour manger, brosser vos dents ou pour utiliser le fil dentaire. Retournez voir votre fournisseur d’Invisalign régulièrement pour un suivi. Chaque cas est différent et en général, se déroule sur une période d’un an. Ensuite vous pouvez montrer comme votre sourire est merveilleux!
|





 |
|
|
|
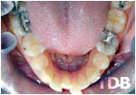
Avant et après Invisalign®
Avant usage d’Invisalign 
Après usage d’Invisalign 
|
Avant usage d’Invisalign 
Après usage d’Invisalign 
|
Avant usage d’Invisalign 
Après usage d’Invisalign 
|
|